资讯动态
公司新闻
行业动态
Industry trends

行业动态

莫纳什大学团队开发噬菌体鸡尾酒疗法,精准狙击耐药阴沟肠杆菌

发布时间:2025-09-29
发布人:安各洛公司-转载-生辉Synbio


面对日益严峻的抗生素耐药性危机,新的治疗策略成为迫切需求。阴沟肠杆菌复合体是一类多重耐药的革兰氏阴性菌,在医院中引发严重感染,并对多种临床常用抗生素表现出高度耐药性。在澳大利亚阿尔弗雷德医院,碳青霉烯酶产阴沟肠杆菌造成了持续的院内流行,每年约有二十例血流感染病例,患者死亡率显著升高。传统抗生素研发周期长且容易在临床应用中被耐药性快速削弱,无法满足即时应对的需求。噬菌体因能特异性靶向细菌而被重新关注,但现有策略或依赖广谱噬菌体组合,覆盖面广却效果有限,或强调个性化治疗,虽精准但耗时耗力,难以应对医院层面的紧急疫情。


在此背景下,莫纳什大学研究团队提出了噬菌体鸡尾酒的概念,即基于某一医院长期积累的病原体库,开发出既具有针对性又能快速部署的专属制剂。这一成果以“Rational design of a hospital-specific phage cocktail to treat Enterobacter cloacae complex infections”为题发表于Nature Microbiology,并以 Entelli-O2 作为最终产品,展示了全新的临床应对范式。


图片


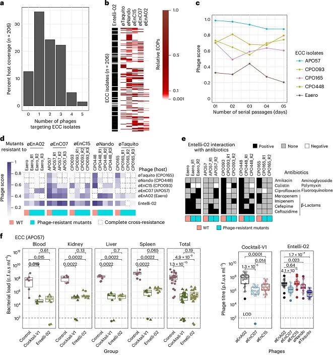
研究团队首先利用阿尔弗雷德医院十年间收集的 206 株临床分离株,筛选出 36 株具有代表性的菌株作为初始目标。从环境样品中分离获得 21 株噬菌体,经过评估后选择宿主范围互补的三株组成初代鸡尾酒 Cocktail-V1。这一组合对用于筛选的 36 株代表菌株覆盖率达到 61%,并在小鼠感染模型中显著降低细菌载量。然而,当对全部 120 株临床菌株进行检验时,其覆盖率仅为 54.2%,对 ST190 等特定序列型的效果尤为不足。研究团队随即深入机制层面的探索,发现三株噬菌体分别识别细菌脂多糖不同的关键部位,包括 O 抗原和核心糖结构,同时有一株通过外膜蛋白 OmpW 进入宿主。这种多靶点攻击在理论上能够降低单一突变带来的耐药风险,但在实际覆盖率上仍有不足。


为提升感染能力,团队对噬菌体进行了适应性进化实验,即通过反复感染原本难以感染的菌株来筛选适应性变异体。经过七天的进化过程,一株噬菌体的感染效率提升超过 4000 倍,另一株则从完全无法感染转变为可以有效复制。基因组分析表明,这些改良噬菌体的关键突变集中在尾部纤维蛋白基因区域,直接增强了识别和吸附宿主的能力。


与此同时,为应对 Cocktail-V1 无法覆盖的序列型,团队进一步从环境中分离出两株新的噬菌体 øNando 和 øTaquito,它们能够特异性裂解此前无法应对的菌株。最终,将三株经过训练的噬菌体与两株新噬菌体组合,形成了包含五株成分的终极鸡尾酒 Entelli-O2。测试结果显示,其对医院 206 株临床分离株的整体覆盖率提高至 88%,显著优于初代方案。


图片

图 | 初代噬菌体组合 Cocktail-V1 通过筛选与进化不断优化,最终形成覆盖率达 88% 的医院定制鸡尾酒 Entelli-O2


在实验室构建出覆盖率高的鸡尾酒后,研究团队着手解决临床应用的关键环节。他们在莫纳什大学噬菌体工坊(Monash Phage Foundry)建立了标准化生产流程,对 Entelli-O2 进行大规模制备与纯化,同时去除内毒素,确保制剂符合静脉注射的临床安全标准。稳定性实验表明,该产品在 4℃ 下可长期保存 18 个月,具备了作为治疗级药物的基本条件。与传统研究性制剂相比,Entelli-O2 不仅在实验效果上表现出色,更在质量控制和保存条件上满足了临床应用的要求。


在动物模型中,Entelli-O2 展现了令人瞩目的治疗潜力。在小鼠败血症模型实验中,它能够显著降低血液和主要脏器中的细菌负荷,清除率达到 99.9% 以上。值得注意的是,在使用一株未参与研发的新临床分离株进行挑战时,Entelli-O2 依旧展现出高效的抑菌效果,这意味着它具备超出训练范围的临床适应性。此外,研究还发现 Entelli-O2 与 β-内酰胺类抗生素存在协同作用,尤其是与 β-内酰胺类抗生素(如头孢他啶、美罗培南)联用时,显示出明显的协同增效趋势。这为未来联合治疗策略提供了有力的实验依据。


图片

图 | 在小鼠败血症模型中,Entelli-O2 显著降低细菌负荷,并与美罗培南展现协同作用


这项研究的最大创新在于成功实践了定制噬菌体鸡尾酒的理念。不同于完全个体化的复杂方案或广谱覆盖的低效组合,这一模式依托医院本身的病原体监测数据和菌株资源,能够在较短时间内研发出覆盖率高、生产标准化的定制化制剂。Entelli-O2 已经为阿尔弗雷德医院的同情用药做好了准备,并计划进入临床试验阶段。其模式也具备可推广性,可为其他医院应对特定耐药菌暴发提供清晰可复制的路径。随着这一模式的成熟和更多案例的积累,噬菌体治疗或将从个别的救命尝试转向标准化、可规模化应用的精准抗菌策略,为抗击全球耐药性危机开辟新的前景。


参考链接:

1.Subedi, D., Gordillo Altamirano, F., Deehan, R. et al. Rational design of a hospital-specific phage cocktail to treat Enterobacter cloacae complex infections. Nat Microbiol (2025). https://doi.org/10.1038/s41564-025-02130-4


责声明:本文旨在传递合成生物学最新讯息,不代表平台立场,不构成任何投资意见和建议,以官方/公司公告为准。本文也不是治疗方案推荐,如需获得治疗方案指导,请前往正规医院就诊。


推荐公司新闻